Skip to main content

Before & After

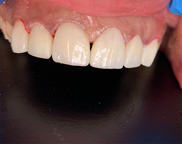
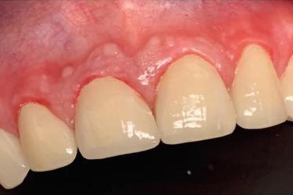
Veneers and crowns combination

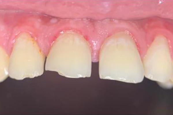
Composite restoration

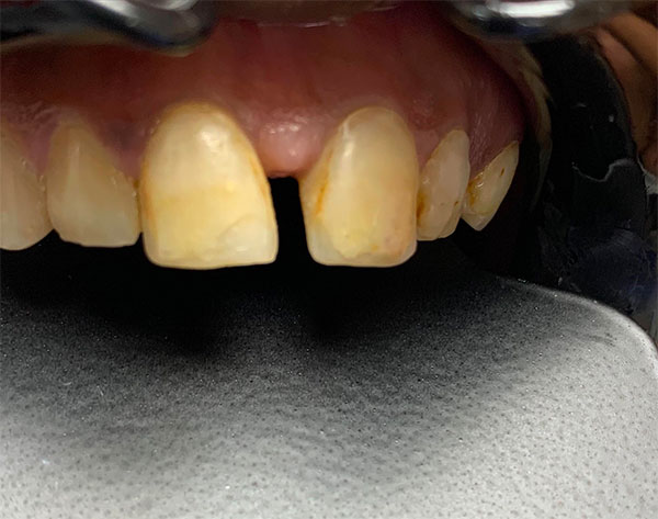
Veneers, implants and crowns